2018.02.20

ブログ

コンプレックス

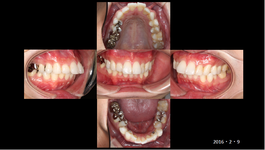
こんにちは(^^)/ 院長 津村です。   早速ですが、皆さん何かコンプレックスはありますか? なかなか自分がパーフェクトだと思える人はいないですよねー(;^ω^)   僕は歯並びが悪いことがずっと一番のコンプレックスでした。 小学生のときに両親のススメで歯科矯正もしていたんですが、 幼いころ嫌々期だったせいか途中でやめてしまいました。 本当にもったいないことをした。と今ではとても後悔しています( ;∀;)     そこで、改めて一昨年に歯科矯正をすることに踏み切りました‼ 30歳を過ぎて今更...と言われることもあったんですが、 歯医者さんに歯並びを良くすると見た目が良くなるだけでなく、 将来歯が悪くなりにくくなると言われて、やってみようと思いました!     でも、いざやってみると大変(;´Д`) 喋りにくいし、食べたものがすぐ挟まるし... 何よりも痛い‼‼ 一番痛いときはバナナを噛むことも痛かったです(笑)   でも約2年、何とか頑張って続けた結果、 だいぶ歯並びが良くなりました☆彡     気持ち悪い写真ですみません(;^ω^) 上下とも歯並びがだいぶ良くなり満足しています。   ただ、 今回やってみて分かったことが一つあります‼   無事矯正を終えて器具が外れても友達にもあまり気付かれないし、 矯正したと話しても「へ~。」くらいで終わりです(@_@) つまり、自分がコンプレックスだと思っていることでも 他人からするとあまり気にしてなくてほんと些細なことだったんだな、 とよく分かりました。     これを色んなコンプレックスに悩んでいる方にも教えてあげたいです(´▽`)     ちなみに、歯科矯正は 和泉市にある北坂歯科・矯正歯科クリニックでやってもらいました。 http://www.kitasaka-dental.com/ 歯並びや虫歯など歯で気になっていることがある方はぜひご相談下さい♫  

つむら動物病院について

つむら動物病院は、堺市南区にある動物病院です。
堺市南区の地域に根ざした動物病院として、最新医療を提供するだけでなく、インフォームドコンセント(納得診療)で飼い主様と病気に向き合っていきます。
また、生活習慣・しつけなどの日常のお困りごとにも対応しております。
まずはお気軽にご連絡ください。

公式SNSのご紹介